Pronation douloureuse: US
22/02/26 08:31
Mécanisme:

A Alignement normal et position anatomique du ligament annulaire.
B Lorsque la traction (flèche blanche pointée) et la pronation (flèche blanche incurvée) sont appliquées sur l'avant-bras, les fibres distales du ligament annulaire sont perturbées (flèches noires) et la partie antérieure de la tête radiale s'échappe sous la partie antérieure du ligament annulaire (flèche blanche).
C Piégeage du ligament annulaire et de l'attachement du supinateur (flèche pointillée noire) entre la tête radiale et le capitellum.
Technique:

approche antérieure dans un axe long à l'articulation radiocapitellaire.
=> Tête radiale non ossifiée (R)
Capitillum partiellement ossifié (C)
Muscle supinateur (*)
Ligament annulaire (flèches blanches)
Pli synovial antérieur (flèche noire)
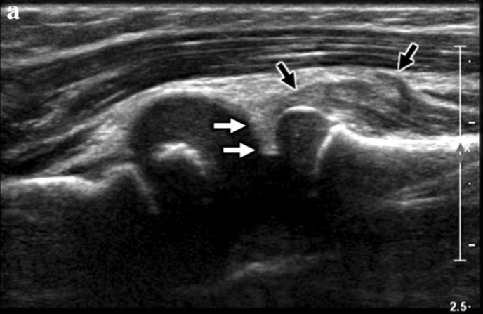
RESULTATS

A. US longitudinale à travers l'articulation radiocapitellaire montre:
- ligament annulaire échogène interposé entre l'articulation radiocapitellaire (flèches blanches)
- muscle supinateur élargi et hétérogène (flèche noire) qui est positionné proximalement
La combinaison de ces résultats a été décrite comme un « signe J » ou un « signe crochet »
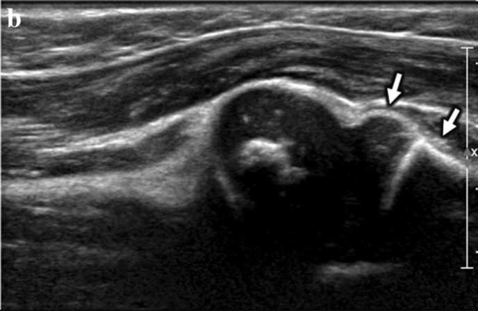
B. Le bras droit non affecté démontre une apposition chondrale normale et un positionnement normal du ligament annulaire (flèches blanches).

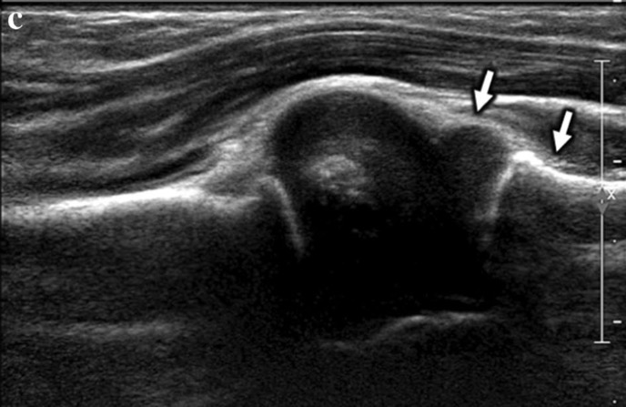
C. après le retrait du plâtre à 2 semaines:
- réduction du ligament annulaire (flèches blanches)
- restauration de l'apposition chondrale normale


A Alignement normal et position anatomique du ligament annulaire.
B Lorsque la traction (flèche blanche pointée) et la pronation (flèche blanche incurvée) sont appliquées sur l'avant-bras, les fibres distales du ligament annulaire sont perturbées (flèches noires) et la partie antérieure de la tête radiale s'échappe sous la partie antérieure du ligament annulaire (flèche blanche).
C Piégeage du ligament annulaire et de l'attachement du supinateur (flèche pointillée noire) entre la tête radiale et le capitellum.
Technique:

approche antérieure dans un axe long à l'articulation radiocapitellaire.
=> Tête radiale non ossifiée (R)
Capitillum partiellement ossifié (C)
Muscle supinateur (*)
Ligament annulaire (flèches blanches)
Pli synovial antérieur (flèche noire)
RESULTATS

A. US longitudinale à travers l'articulation radiocapitellaire montre:
- ligament annulaire échogène interposé entre l'articulation radiocapitellaire (flèches blanches)
- muscle supinateur élargi et hétérogène (flèche noire) qui est positionné proximalement
La combinaison de ces résultats a été décrite comme un « signe J » ou un « signe crochet »
B. Le bras droit non affecté démontre une apposition chondrale normale et un positionnement normal du ligament annulaire (flèches blanches).

C. après le retrait du plâtre à 2 semaines:
- réduction du ligament annulaire (flèches blanches)
- restauration de l'apposition chondrale normale
