Mesure métatarsus adductus
12/10/25 12:24
Interprétation des angles (méthodes de 1 à 6)






- Un angle >15° est considéré comme un métatarse adductus.
- La classification de la sévérité (légère, modérée ou sévère) se fait sur la base de ces mesures.
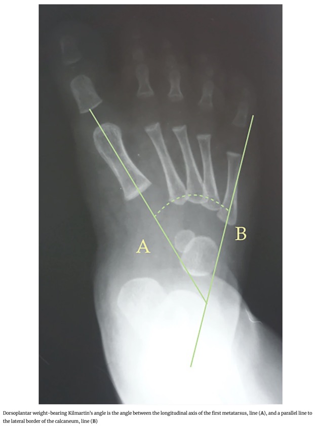
- 1. Angle de Kilmartin : Angle entre l'axe longitudinal du premier métatarsien et une ligne parallèle au bord latéral du calcaneus.

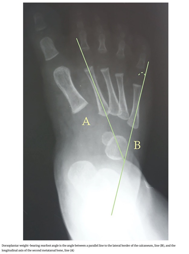
- 2. Angle dorsoplantaire du talon en charge

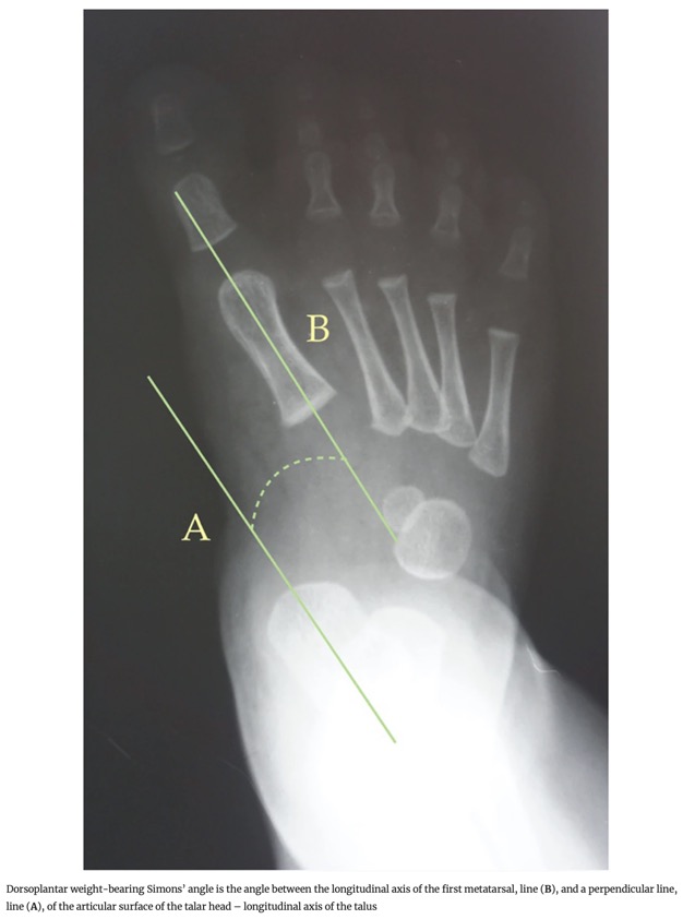
- 3. Angle de Simons : Angle entre l'axe longitudinal du premier métatarsien et une ligne perpendiculaire à la surface articulaire de la tête du talus.

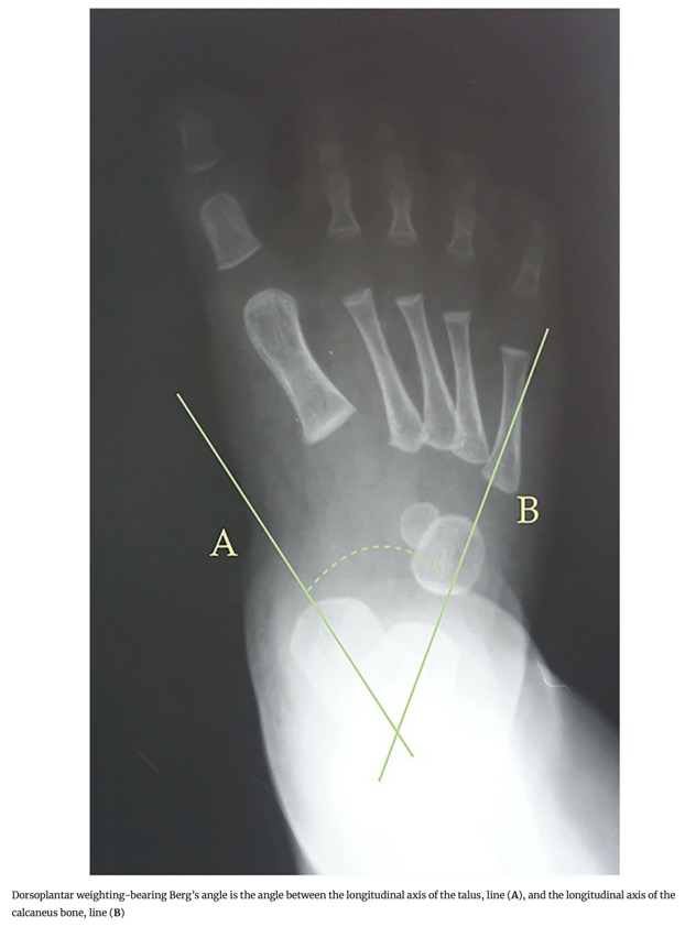
- 4. Angle de Berg : Angle entre l'axe longitudinal du talus et l'axe longitudinal du calcanéus.

- 5. Angle de Root : Angle entre l'axe longitudinal du deuxième métatarsien et l'axe longitudinal de l'arrière-pied.

- 6. Angle de Laaveg & Ponseti : Angle entre l'axe longitudinal du cinquième métatarsien et une ligne parallèle au bord latéral du calcaneus.
