Maladie de Blount
16/06/25 08:20
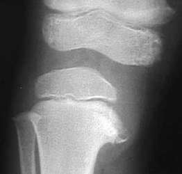
Maladie de Blount

défaut de croissance du tibia interne supérieur: bilatérale 60%
- Lesion métaphysaire tibiale interne
-Angle entre physe et la diaphyse


Clinique
Déformation en varus: jambes arquées de longueur différente
proéminence médiane du tibia proximal

DD: >2 ans car le tibia varus physiologique
traitement
orthopédique >chirurgie

CLINIQUE
- jambes arquées
- longueur différente
- proéminence médiane du tibia proximal
FDR
- obésité
- âge précoce de la marche
DIAGNOSTIC > 2 ans!!!
TRAITEMENT
- orthopédique
- chirurgie peut être indiquée pour corriger la déformation
.

défaut de croissance du tibia interne supérieur: bilatérale 60%
- Lesion métaphysaire tibiale interne
-Angle entre physe et la diaphyse


Clinique
Déformation en varus: jambes arquées de longueur différente
proéminence médiane du tibia proximal

DD: >2 ans car le tibia varus physiologique
traitement
orthopédique >chirurgie

CLINIQUE
- jambes arquées
- longueur différente
- proéminence médiane du tibia proximal
FDR
- obésité
- âge précoce de la marche
DIAGNOSTIC > 2 ans!!!
TRAITEMENT
- orthopédique
- chirurgie peut être indiquée pour corriger la déformation
.
