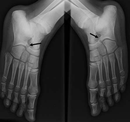
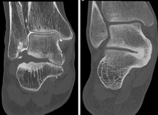
Coalitions tarsiennes
23/02/26 09:59
On parle de
1. Synostose calcanéo-naviculaire



2. Synostose talo-calcanéenne


- synostose (le blocage est complet)
- Fibreux : on parle de synfibrose (le blocage est incomplet)
- Cartilagineux : on parle de synchondrose (le blocage est incomplet).
1. Synostose calcanéo-naviculaire



2. Synostose talo-calcanéenne

