Pseudo-tumeurs rénales
26/10/25 16:09
LESIONS POUVANT MIMER UN PROCESSUS TUMORAL
1. Pseudotumeurs rénales développementales
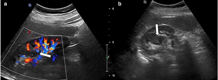
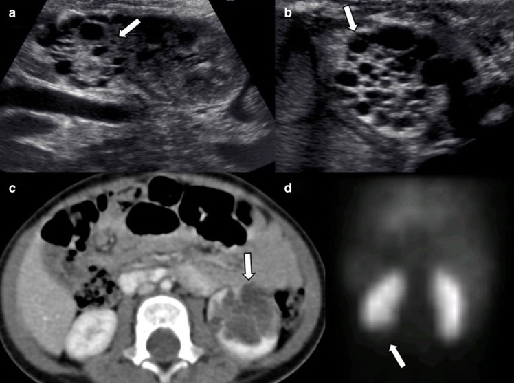
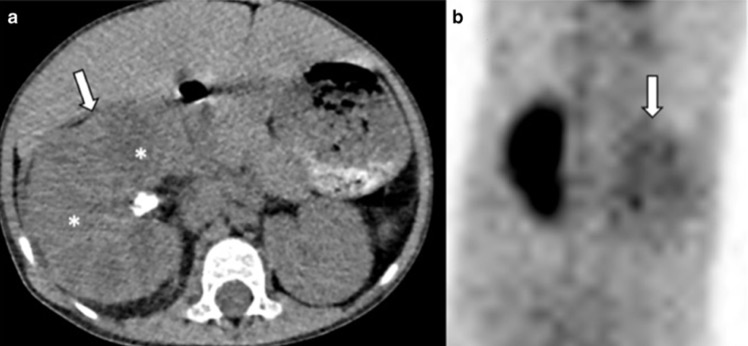
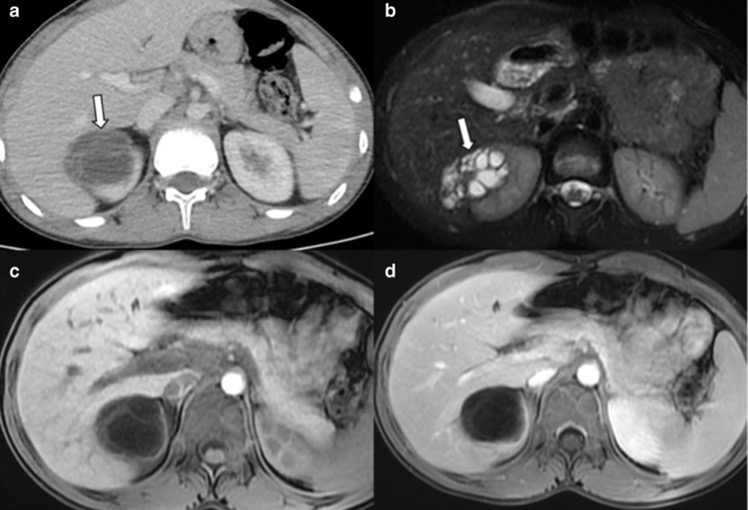
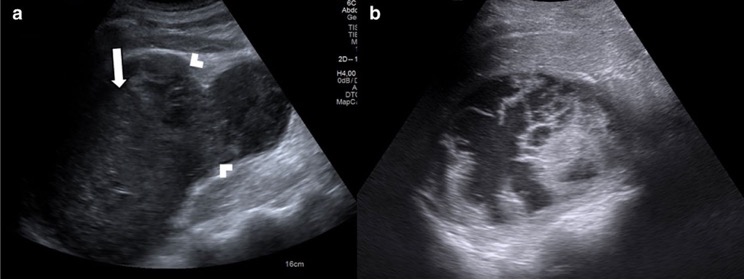
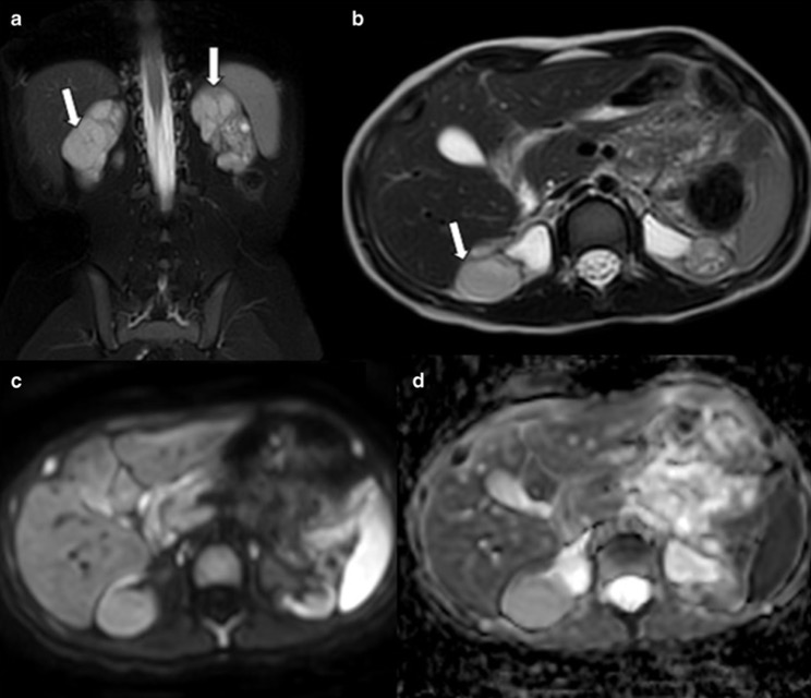
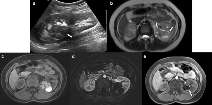
- Colonne proéminente de Bertin

- Lobulation fœtale persistante
- Rein dromadaire
- Fusion spléno-rénale
- Rein "pancake"

- Rein dysplasique multikystique segmentaire

2. Pseudotumeurs rénales infectieuses et granulomateuses
- Néphrite bactérienne focale

- abcès rénal

- Tuberculose rénale
- Pyélonéphrite xanthogranulomateuse

- Sarcoïdose rénale
- Kyste hydatique rénal

3. Pseudotumeurs rénales vasculaires
- Malformation artérioveineuse rénale

- Hématome sous-capsulaire spontané

4. Pseudotumeurs rénales diverses
- Rein cicatriciel avec nodules de régénération

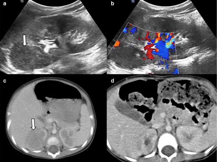
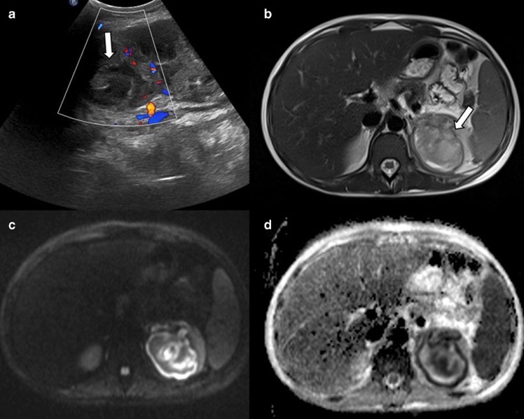
- Kyste rénal hémorragique

1. Pseudotumeurs rénales développementales
- Colonne proéminente de Bertin

- Lobulation fœtale persistante
- Rein dromadaire
- Fusion spléno-rénale
- Rein "pancake"

- Rein dysplasique multikystique segmentaire

2. Pseudotumeurs rénales infectieuses et granulomateuses
- Néphrite bactérienne focale

- abcès rénal

- Tuberculose rénale
- Pyélonéphrite xanthogranulomateuse

- Sarcoïdose rénale
- Kyste hydatique rénal

3. Pseudotumeurs rénales vasculaires
- Malformation artérioveineuse rénale

- Hématome sous-capsulaire spontané

4. Pseudotumeurs rénales diverses
- Rein cicatriciel avec nodules de régénération

- Kyste rénal hémorragique
