Méningite
21/08/25 19:44
1. CLINIQUE
Syndrome méningé = TRIADE
1. Céphalées: Intenses, diffuses, continues, mal soulagées, exagérées par mouvements de la tête, lumière (photophobie) ou bruit (acouphobie)
2. Vomissements: précoces, spontanés, en jet, sans effort
3. Raideur méningée: contracture paravertébrale («en chien de fusil») : sur le côté, dos à la lumière, tête en hyperextension, membres semi-fléchis.
=> résistance invincible et douloureuse de la nuque
4. Autres signes: Hyperesthésie cutanée diffuse. Réflexes tendineux vifs.
2. DIAGNOSTIC
CI à la PL:
- Anomalie de l'hémostase ou thrombopénie
- Signes cliniques d'engagement cérébral (mydriase unilatérale, hoquet, mouvements d'enroulement, troubles ventilatoires)
- Instabilité hémodynamique
Syndrome post-PL: diagnostic clinique
Hypotension du LCS par écoulement lié à une brèche méningée
=> Céphalée orthostatique et disparition en position allongée
=> IRM: ptose amygdalienne cérébelleuse, effacement des citernes prépontiques et chiasmatiques, C+ diffuse et régulière des méninges
=> blood patch épidural (injection de sang autologue dans l'espace épidural)
Si non traitée => hématomes sous duraux bilatéraux et thrombose veineuse
3. IMAGERIE
Indications
1. CI à la PL: Engagement cérébral
2. Recherche d'une complication (thrombose veineuse, hématome sous-dural)
- Si syndrome d'hypotension du LCS post-PL
- Si modification de la céphalée
- Si apparition d'un autre signe neurologique
3. Recherche étiologique si signes encéphalitiques (IRM C+ best)
CT
- peut être normal
- hydrocéphalie subtile
- hyperdensité autour des citernes de la base (surtout en cas de tuberculose)
- rehaussement lepto-méningé
- complications ou sources de la méningite
IRM
- T1 : peut être normal ou les sillons moins hypointenses que la normale
- T1 C+ : rehaussement leptoméningé
- FLAIR : montre un signal hyperintense dans l’espace du LCS, notamment dans les sillons
- FLAIR C+ : s'est avéré plus sensible et spécifique que la séquence T1 C+ (Gd) pour détecter le rehaussement lepto-méningé
- TOF : rétrécissement ou occlusion artérielle

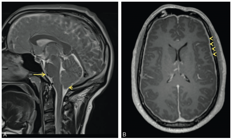
A. T2: Effacement de la citerne pré-pontique (flèche longue), discrète ptose de l'amygdale cérébelleuse (flèche courte)
B. T1 C+: prise de contraste diffuse et régulière des pachyméninges (têtes de flèches)

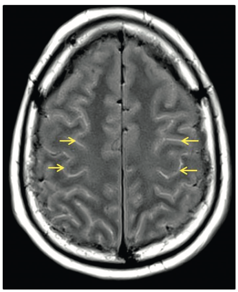
FLAIR: hypersignaux diffus des sillons corticaux

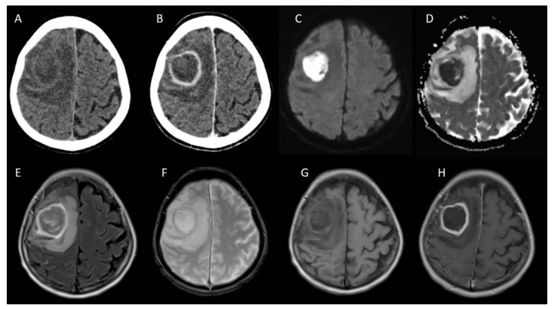
CT: C- (A) et C+ (B): abcès frontal droit
IRM: DWI (C) ADC (D), FLAIR (E), T2 EG (G) et T1 C+ (H): abcès frontal droit
Syndrome méningé = TRIADE
1. Céphalées: Intenses, diffuses, continues, mal soulagées, exagérées par mouvements de la tête, lumière (photophobie) ou bruit (acouphobie)
2. Vomissements: précoces, spontanés, en jet, sans effort
3. Raideur méningée: contracture paravertébrale («en chien de fusil») : sur le côté, dos à la lumière, tête en hyperextension, membres semi-fléchis.
=> résistance invincible et douloureuse de la nuque
4. Autres signes: Hyperesthésie cutanée diffuse. Réflexes tendineux vifs.
2. DIAGNOSTIC
CI à la PL:
- Anomalie de l'hémostase ou thrombopénie
- Signes cliniques d'engagement cérébral (mydriase unilatérale, hoquet, mouvements d'enroulement, troubles ventilatoires)
- Instabilité hémodynamique
Syndrome post-PL: diagnostic clinique
Hypotension du LCS par écoulement lié à une brèche méningée
=> Céphalée orthostatique et disparition en position allongée
=> IRM: ptose amygdalienne cérébelleuse, effacement des citernes prépontiques et chiasmatiques, C+ diffuse et régulière des méninges
=> blood patch épidural (injection de sang autologue dans l'espace épidural)
Si non traitée => hématomes sous duraux bilatéraux et thrombose veineuse
3. IMAGERIE
Indications
1. CI à la PL: Engagement cérébral
2. Recherche d'une complication (thrombose veineuse, hématome sous-dural)
- Si syndrome d'hypotension du LCS post-PL
- Si modification de la céphalée
- Si apparition d'un autre signe neurologique
3. Recherche étiologique si signes encéphalitiques (IRM C+ best)
CT
- peut être normal
- hydrocéphalie subtile
- hyperdensité autour des citernes de la base (surtout en cas de tuberculose)
- rehaussement lepto-méningé
- complications ou sources de la méningite
IRM
- T1 : peut être normal ou les sillons moins hypointenses que la normale
- T1 C+ : rehaussement leptoméningé
- FLAIR : montre un signal hyperintense dans l’espace du LCS, notamment dans les sillons
- FLAIR C+ : s'est avéré plus sensible et spécifique que la séquence T1 C+ (Gd) pour détecter le rehaussement lepto-méningé
- TOF : rétrécissement ou occlusion artérielle

A. T2: Effacement de la citerne pré-pontique (flèche longue), discrète ptose de l'amygdale cérébelleuse (flèche courte)
B. T1 C+: prise de contraste diffuse et régulière des pachyméninges (têtes de flèches)

FLAIR: hypersignaux diffus des sillons corticaux

CT: C- (A) et C+ (B): abcès frontal droit
IRM: DWI (C) ADC (D), FLAIR (E), T2 EG (G) et T1 C+ (H): abcès frontal droit