CADASIL
10/08/25 12:18
Cerebral Autosomal Dominant Arteriopathy with Subcortical Infarcts and Leukoencephalopathy
maladie génétique par mutation du gène « NOTCH 3 », situé sur le chromosome 19
Touche les patients de 40 ans environ
TABLEAU
- association de migraines
- de lésions vasculaires cérébrales
- de lésions de la substance blanche du cerveau
=> aboutissant à une altération intellectuelle (troubles mémoire, épilepsie)
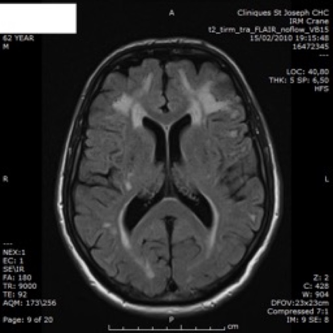
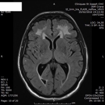
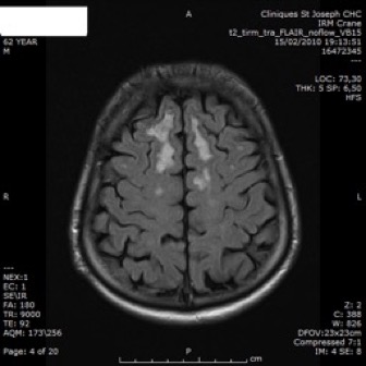
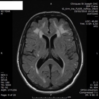
IRM
- anomalies de la substance blanche: LEP
- infarctus de petite taille, souvent profonds: sous-corticaux.

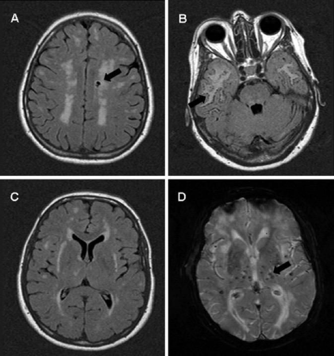
Axial FLAIR (A–C) and T2*GE (D)
- hypersignaux confluents (A–C)
- infarctus lacunaires (A, flèche)
- lésions lacunaires sous-corticales (B, flèche)
- microsaignements (D, flèche).





maladie génétique par mutation du gène « NOTCH 3 », situé sur le chromosome 19
Touche les patients de 40 ans environ
TABLEAU
- association de migraines
- de lésions vasculaires cérébrales
- de lésions de la substance blanche du cerveau
=> aboutissant à une altération intellectuelle (troubles mémoire, épilepsie)
IRM
- anomalies de la substance blanche: LEP
- infarctus de petite taille, souvent profonds: sous-corticaux.

Axial FLAIR (A–C) and T2*GE (D)
- hypersignaux confluents (A–C)
- infarctus lacunaires (A, flèche)
- lésions lacunaires sous-corticales (B, flèche)
- microsaignements (D, flèche).




