Diverticule arachnoïdien intradiploïen pariétal
16/11/25 11:21
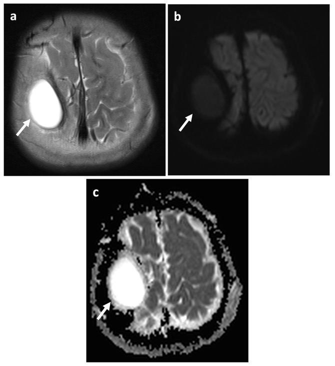
Diverticule arachnoïdien intradiploïen:
- Complication postopératoire à la ventriculostomie endoscopique
- Extrêmement rare
- Insinuation de l'arachnoïde à travers le dure-mère vers le compartiment intradiploïque
Table extérieure intacte
CT: lésion kystique intradiploïque bien définie
+ expansion de l'os pariétal droit

MR: DD du kyste épidermoïde

- Complication postopératoire à la ventriculostomie endoscopique
- Extrêmement rare
- Insinuation de l'arachnoïde à travers le dure-mère vers le compartiment intradiploïque
Table extérieure intacte
CT: lésion kystique intradiploïque bien définie
+ expansion de l'os pariétal droit

MR: DD du kyste épidermoïde
